
chronische Schmerzen?
Die Zukunft der Schmerzbehandlung ist hier!
Innovative Schmerztherapie
Chronische Gelenkbeschwerden mindern die Lebensqualität und schränken die Beweglichkeit ein. Unter anderem ist ein Gelenkverschleiß (Arthrose) dafür verantwortlich; dieser Prozess ist degenerativ und unumkehrbar. Für Betroffene gibt es bisher konservative (Schmerztherapie) und operative Verfahren (Gelenkersatz). Dieses neuartige Verfahren eignet sich für die Behandlung von Gelenken, aber auch für Schmerzen in Geweben und Sehnen, zum Beispiel der Achillessehne, dem Fuß oder dem Ellenbogen.
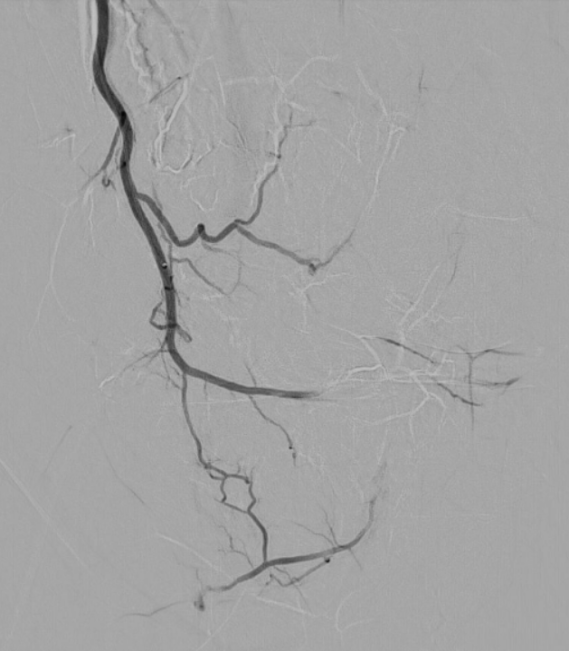
Letztlich sind alle diese längerfristig bestehenden Schmerzen durch eine chronische Entzündung bedingt. Dies ist keine bakterielle Entzündung, sondern eine "normale" Reaktion des Körpers. Es kommt zum Einsprossen von neuen, kleinen Blutgefäßen und neuen Nervenbahnen, welche die Schmerzen weiterleiten können.
Diese neuen, kleinen Blutgefäße sind der Angriffspunkt dieser innovativen Schmerztherapie. Durch dieses minimalinvasive Therapieverfahren erfahren Sie eine umgehende und lang anhaltende Schmerzlinderung.
kniewohl.de
schulterwohl.de
gelenkwohl.de
schmerz-frei.info
chronische-gelenkschmerzen.de

Eine für alle - die Website kniewohl.de bildet die Basisinformationsseite im deutschsprachigen Raum zum Thema Schmerztherapie durch Mikroembolisation. Sie werden von den oben genannten Webadressen weitergeleitet; damit soll die vielfache Anwendungsmöglichkeit - weit über das Kniegelenk hinaus - unterstrichen werden.
Die Schmerzbehandlung durch transarterielle Mikroembolisation (TAME) ist eine innovative medizinische Behandlungsmethode, welche sich in den letzten Jahren stark verbreitet hat. TAME hat sich als effektive Option in der Schmerztherapie etabliert, da sie nicht nur die Lebensqualität der Patienten verbessert, sondern auch in vielen Fällen die Notwendigkeit von Schmerzmitteln verringert. Informieren Sie sich selbst - für Kritik, Anmerkungen oder Fragen stehe ich gerne zur Verfügung!
Mit freundlichen Grüßen
Dr. med. Rainer Waßmer

Meinungen
Durch eine transarterielle Mikroembolisation können chronische Schmerzen gelindert oder sogar beseitigt werden um dadurch eine deutliche Verbesserung der Lebensqualität zu erfahren.
Evelyn L.

"Ich bin sehr glücklich nach der Therapie beider Kniegelenke. Seitdem kann ich wieder unbeschwert meine Alltagsdinge erledigen und meinem Hobby - dem Wandern - nachgehen."
Ralph W.

"Kleiner Eingriff - große Wirkung. Ich bin dem Team um Dr. Waßmer sehr dankbar. Die Knieschmerzen sind weg, nun kann ich mich endlich wieder unbeschwert bewegen."
Gudrun K.

"Ich war zunächst skeptisch, habe aber von Freunden über die Therapie erfahren. Ich bin so froh, dass ich den Schritt gewagt habe. Ich habe mich seit langem nicht mehr so frei bewegen können. Danke!"
Kontakt aufnehmen
E-Mail: info@kniewohl.de
Adresse: Kleiststraße 1, 01445 Radebeul, Deutschland


