case of the day - 17.02.2026
Kniegelenk
Immer wieder eindrucksvoll, wie der ganze laterale Kniegelenksbereich über die A. genicularis inferior lateralis versorgt wird.

Arteria genicularis inferior lateralis - vor Behandlung

Arteria genicularis inferior lateralis - nach Behandlung
case of the day - 12.02.2026
Kniegelenk
Hier sehen Sie sehr eindrucksvoll die Behandlung des medialen Kniegelenksbereichs über die A. genicularis superior medialis.

Arteria genicularis superior medialis - vor Behandlung

Arteria genicularis superior medialis - nach Behandlung
case of the day - 10.02.2026
Kniegelenk
Hier sehen Sie die Behandlung des medialen Kniegelenks. Mithilfe des "Okklusionstricks" konnte man das Embolisat mit Druck über die Kollateralen bis zur A. genicularis inferior lateralis bringen.

Arteria genicularis superior medialis - vor Behandlung

Arteria genicularis superior medialis - nach Behandlung
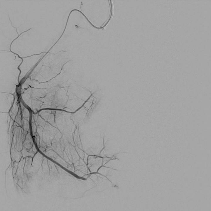
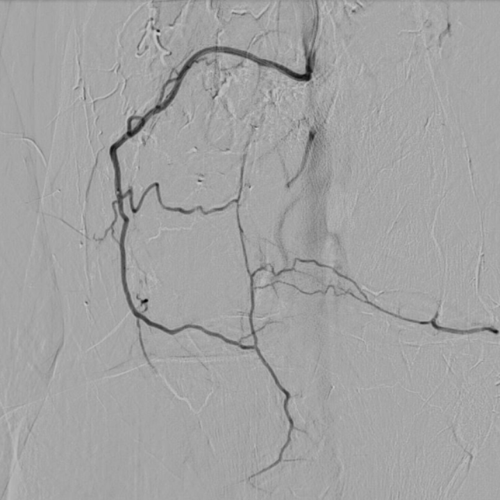
case of the day - 09.02.2026
Kniegelenk
Hier sehen Sie die Bilder vor und nach der Behandlung bei chronischen Kniegelenksbeschwerden. Sehr deutlich ist die geringere Kontrastmittelaufnahme nach Behandlung als Hinweis der verringerten Durchblutung der entzündeten Bereiche zu sehen.

Arteria genicularis inferior lateralis - vor Behandlung

Arteria genicularis inferior lateralis - nach Behandlung
